Disease/Drug of interest: Chaga's Disease/ Nifurtimox
Motivation and Background:
Chaga's Disease, also known as American Trypanosomiasis, is caused by the protozoan parasite to Trypanosoma cruzi (T. cruzi), and approximately six to seven millions people are affected worldwide. Chaga's Disease is on of the major health problems in South America; however, due to immigration, the disease also affects people in the United States [1,2]. The most common mode of transmission is through the bite of reduviid bugs, where the parasite enters using the wound or intact mucous membrane [2,3]. The Chaga's Disease manifests in two phases: acute and chronic. The acute phase occurs right after after the initial infections and last approximately two months [2]. During this period, the infected human may experience no or very mild symptoms, such as fever [1,2]. Some visible signs of an infection are the purplish swelling of an eyelid if the bite occurred near the eye, skin lesions, muscle pain, enlarged lymph glands, and chest pain [1,2,3]. During the chronic phase, approximately 30% of infected individuals can develop cardiac alteration, and 10% develop neurological, digestive, or mixed alterations [2]. If left untreated, T. cruzi remains hidden in the heart and digestive muscles for years and possibly lead to sudden death or heart failure due to the progressive destruction of the cardiac muscle and it nervous system [2]. In a 2008 analysis from Columbia, it is estimated that the cost of treatment per patient with chronic Chaga's Disease in the United State is $11,619, and up to $14,580 for patients in Mexico [4]. As a disease of the poor, many patients cannot afford medical care; some do not even have access to healthcare facilities. Nearly 10,000 people die every year from complications linked to Chaga's Disease, crippling economic growth in developing countries [2]
=
Figure 1: Destruction of cardiac muscle due to untreated chronic Chaga's Disease
=
Figure 2: Megacolon in chronic Chaga's Disease. Syndromes like this may occur in infants, following a congenital infection.
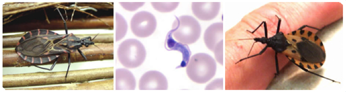
Figure 4: Reduviid bugs (left and right) and T. cruzi parasite (middle)--the main culprit of Chaga's Disease.
Figure 4: Protein structure of the NADPH-Cytochrome p450 Reductase with the main chain shown in ribbon.
=
Size: 28,217 Daltons [5,6]
Location: Cytoplasm of bacteria cell & Endoplasmic reticulum-bounded in mammalian cells.
Function in a normal cell: NADPH-Cytochrome p450 reductase belongs to Type 1 class of two groups of nitroreductase. This protein utilizes the reducing power of NADPH to drive the process of metabolizing nitrocompounds, such as nitroaromatics and nitroheteocyclic, which have toxic, mutagenic, and carcinogenic effects if left accumulated in the cells [5,7].
Drug Information: Nifurtimox
Schematic figure of drug:
Figure 5: Molecular Structure of Nifurtimox
Formula: C10H13N3O5S [8]
Molecular weight: 287.29 Daltons [8]
CAS Number: 23256-30-6 [8]
Delivery method: Oral pills
Side effects: Some side effects of Nifurtimox includes convulsion, insomnia, psychosis, disorientation, and disturbance of equilibrium [9]. Other adverse reactions are dizziness, headache, vomiting, nausea, neuralgia, and skin rash. A potentially life-threatening symptom is leukopenia, which is the reduction of white blood cells. Pregnant women and people with kidney or liver failure cannot take Nifurtimox [9].
Other names: Lampit by its manufacturer; 4-Thiomorpholinamine, 3-methyl-N-[(5-nitro-2-furanyl)methylene]-, 1,1-dioxide by IUPAC [8]
Maker or company: Bayer
Is it patented? Yes
Clinical Trials Info: Bayer is currently proposing a clinical trial to better understand the tolerability, safety, efficacy, and pharmacokinetics of Nifurtimox in children [10]. It is predicted that 390 children from ages 0-17 will be enrolled. Two experiments will be conducted: 1) Nifurtimox tablets will be administered three times a day for 60 days; 2) Nifurtimox will also be given three times daily for 30 days, followed by 30 days of placebo [10].
Origin: This drug is synthetically developed.
Alternatives to this drug: A possible alternative for Nifurtimox is the medicine Benznidazole.
Miscellaneous: Production of Nifurtimox was temporarily halted in 1997 due to high reported incidents of leukopenia; fortunately, the production resumed when the drug was found effective towards the African Sleeping Sickness [11,12]. Nifurtimox does not directly cure the disease; rather, it exploits NADPH-Cytochrome p450 reductase's function to build a cascade of the end products, such as oxygen radicals and hydrogen peroxide that binds to lipids, proteins, and DNA and damage them. Nifurtimox is effective because the parasite lacks effective defense mechanisms against oxidative stress [13].
Other uses: can this drug be used to treat other diseases/conditions? Nifurtimox is found effective towards the African Sleeping Sickness [11,12].
[6] Hall, B., Bot, C., Nifurtimox Activation by Trypanosomal Type 1 Nitroreductases Generates Cytotoxic Nitrile Metabolites. The Journal of Biological Chemistry 2011, 286, (15), 13088-95.
[7] Oliveira, I., Bonatto, D., Nitroreductase: Enzymes with Environment, Biotechnological and Clinical Importance. Current Research, Technology and Education Topics in Applied Microbiology and Microbial Biotechnology 2010, 2, 789-1620.
[13] Maya, J.D., Cassels, B.K., Mode of Action of Natural and Synthetic Drugs Against Trypanosoma cruzi and Their Interaction with the Mammalian Host. Comparative Biochemistry and Physiology Part A; Molecular & Integrative Physiology 2007, 146, (4), 601-20.
Disease/Drug of interest: Chaga's Disease/ Nifurtimox
Motivation and Background:
Chaga's Disease, also known as American Trypanosomiasis, is caused by the protozoan parasite to Trypanosoma cruzi (T. cruzi), and approximately six to seven millions people are affected worldwide. Chaga's Disease is on of the major health problems in South America; however, due to immigration, the disease also affects people in the United States [1,2]. The most common mode of transmission is through the bite of reduviid bugs, where the parasite enters using the wound or intact mucous membrane [2,3]. The Chaga's Disease manifests in two phases: acute and chronic. The acute phase occurs right after after the initial infections and last approximately two months [2]. During this period, the infected human may experience no or very mild symptoms, such as fever [1,2]. Some visible signs of an infection are the purplish swelling of an eyelid if the bite occurred near the eye, skin lesions, muscle pain, enlarged lymph glands, and chest pain [1,2,3]. During the chronic phase, approximately 30% of infected individuals can develop cardiac alteration, and 10% develop neurological, digestive, or mixed alterations [2]. If left untreated, T. cruzi remains hidden in the heart and digestive muscles for years and possibly lead to sudden death or heart failure due to the progressive destruction of the cardiac muscle and it nervous system [2]. In a 2008 analysis from Columbia, it is estimated that the cost of treatment per patient with chronic Chaga's Disease in the United State is $11,619, and up to $14,580 for patients in Mexico [4]. As a disease of the poor, many patients cannot afford medical care; some do not even have access to healthcare facilities. Nearly 10,000 people die every year from complications linked to Chaga's Disease, crippling economic growth in developing countries [2]
=
=
Target Information: NADPH-Cytochrome p450 reductase
=
=
Size: 28,217 Daltons [5,6]
Location: Cytoplasm of bacteria cell & Endoplasmic reticulum-bounded in mammalian cells.
Function in a normal cell: NADPH-Cytochrome p450 reductase belongs to Type 1 class of two groups of nitroreductase. This protein utilizes the reducing power of NADPH to drive the process of metabolizing nitrocompounds, such as nitroaromatics and nitroheteocyclic, which have toxic, mutagenic, and carcinogenic effects if left accumulated in the cells [5,7].
Drug Information: Nifurtimox
Schematic figure of drug:Molecular weight: 287.29 Daltons [8]
CAS Number: 23256-30-6 [8]
Delivery method: Oral pills
Side effects: Some side effects of Nifurtimox includes convulsion, insomnia, psychosis, disorientation, and disturbance of equilibrium [9]. Other adverse reactions are dizziness, headache, vomiting, nausea, neuralgia, and skin rash. A potentially life-threatening symptom is leukopenia, which is the reduction of white blood cells. Pregnant women and people with kidney or liver failure cannot take Nifurtimox [9].
Other names: Lampit by its manufacturer; 4-Thiomorpholinamine, 3-methyl-N-[(5-nitro-2-furanyl)methylene]-, 1,1-dioxide by IUPAC [8]
Maker or company: Bayer
Is it patented? Yes
Clinical Trials Info: Bayer is currently proposing a clinical trial to better understand the tolerability, safety, efficacy, and pharmacokinetics of Nifurtimox in children [10]. It is predicted that 390 children from ages 0-17 will be enrolled. Two experiments will be conducted: 1) Nifurtimox tablets will be administered three times a day for 60 days; 2) Nifurtimox will also be given three times daily for 30 days, followed by 30 days of placebo [10].
Origin: This drug is synthetically developed.
Alternatives to this drug: A possible alternative for Nifurtimox is the medicine Benznidazole.
Miscellaneous: Production of Nifurtimox was temporarily halted in 1997 due to high reported incidents of leukopenia; fortunately, the production resumed when the drug was found effective towards the African Sleeping Sickness [11,12]. Nifurtimox does not directly cure the disease; rather, it exploits NADPH-Cytochrome p450 reductase's function to build a cascade of the end products, such as oxygen radicals and hydrogen peroxide that binds to lipids, proteins, and DNA and damage them. Nifurtimox is effective because the parasite lacks effective defense mechanisms against oxidative stress [13].
Other uses: can this drug be used to treat other diseases/conditions? Nifurtimox is found effective towards the African Sleeping Sickness [11,12].
References:
[1] Chagas disease: MedlinePlus Medical Encyclopedia https://www.nlm.nih.gov/medlineplus/ency/article/001372.htm (accessed Feb 6, 2016).
[2] Chagas disease (American trypanosomiasis) http://www.who.int/mediacentre/factsheets/fs340/en/ (accessed Feb 7, 2016).
[3] Longo, D.L., Chagas’ Disease. The New England Journal of Medicine 2015, 373, (5), 456-66.
[4] Kirchhoff, L. V. printPrint Chagas Disease (American Trypanosomiasis). Medscape, http://www.medscape.com/viewarticle/774864_4 (accessed Feb 28, 2016).
[5] NADPH--cytochrome p450 reductase, putative http://www.uniprot.org/uniprot/q4cqr2 (accessed Feb 8, 2016).
[6] Hall, B., Bot, C., Nifurtimox Activation by Trypanosomal Type 1 Nitroreductases Generates Cytotoxic Nitrile Metabolites. The Journal of Biological Chemistry 2011, 286, (15), 13088-95.
[7] Oliveira, I., Bonatto, D., Nitroreductase: Enzymes with Environment, Biotechnological and Clinical Importance. Current Research, Technology and Education Topics in Applied Microbiology and Microbial Biotechnology 2010, 2, 789-1620.
[8] Nifurtimox Substance Detail https://scifinder.cas.org/scifinder/view/scifinder/scifinderexplore.jsf (accessed Feb 6, 2016).
[9] Nifurtimox http://druginfosys.com/drug.aspx?drugcode=516 (accessed Feb 6, 2016)
[10] Prospective Study of a Pediatric Nifurtimox Formulation for Chagas' Disease (CHICO) https://clinicaltrials.gov/ct2/show/nct02625974?term=nifurtimox (accessed Feb 6, 2016).
[11] Nifurtimox http://druginfosys.com/drug.aspx?drugcode=516 (accessed Feb 6, 2016).
[12] Lampit https://pubchem.ncbi.nlm.nih.gov/compound/lampit#section=mesh-pharmacological-classification (accessed Feb 6, 2016).
[13] Maya, J.D., Cassels, B.K., Mode of Action of Natural and Synthetic Drugs Against Trypanosoma cruzi and Their Interaction with the Mammalian Host. Comparative Biochemistry and Physiology Part A; Molecular & Integrative Physiology 2007, 146, (4), 601-20.
External links:
Chaga's Disease (World Health Organization)
Nifurtimox Mechanism of Action
NADPH Cytochrome p450 Reductase
Nifurtimox Activation of NADPH Cytochrome p450 Reductase